Who would have thought that eating something when you were seven years old could come back to bite you 40 years later? This is what happened to one man who got the shock of his life when an X-ray discovered something very unusual lurking in his body. But we’re not talking about a reemerging Cornetto… this case is a little more pointy than that.
WATCH discover why stepping on Lego hurts so, so much. Article continues after video…
A 47-year-old man in the UK was referred to a respiratory clinic after complaining of coughing up yellow mucus and feeling unwell for over a year.
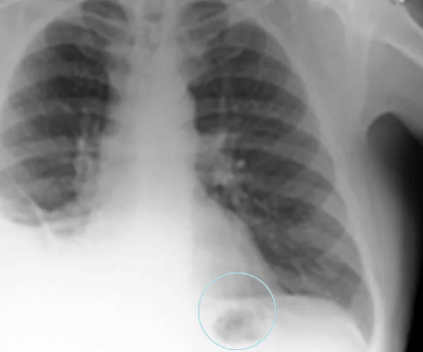
The patient was given a chest X-ray which produced a frightening result. A dark mass appeared over one of his lungs which doctors initially thought, based on the fact that the patient had been a long-term smoker, was lung cancer.

A man was rushed to hospital for tests when an X-ray presented a dark mass on his lung (Picture: BMJ Case Reports).
However, after further tests, it was discovered that the dark mass was not a tumour, in fact, it was a plastic toy traffic cone that had lodged itself in the man’s lung.
The miniature plastic cone was specifically from a Playmobil miniature toy set that the man had as a child.
“He recalled being given this Playmobil set for his seventh birthday and believes he aspirated the toy traffic cone soon after,” doctors wrote in the BMJ Case Report.

The plastic cone, about 1cm in length, was removed with biopsy forceps.
“Following the procedure, the patient reported that he regularly played with and even swallowed pieces of Playmobil during his childhood,” the report said.
The experts believe that this case is the longest they are aware of in which a toy has remained undetected in a human body.
They added that when the man was young, the tiny traffic cone may have been absorbed into the lining of the lung, which developed around it.

Four months after the cone was removed, the patient’s cough had nearly cleared and his other symptoms had improved.
The doctors said: “On a positive note, his symptoms improved markedly and he finally found his long-lost Playmobil traffic cone in the very last place he would look.”
